姑娘做试管婴儿的适当年龄是1个关键的考量要素。 由针对女性卵巢机能跟着岁数增多逐步减少, 生育本事同样会接着减少,所以选择适当的年龄做试管婴儿手术关于提升成功率极为重要。
尽管每个人状况不同,但在一般情况下,而立之年到35岁的女性被当成是做试管婴儿手术的最完美岁数段。在这个年纪阶段,女性卵巢机能相应安定,卵子质量也较好,更容容易受到孕成功。
影响试管婴儿成功率的因素除了岁数以外,其他一个些要素亦会影响试管婴儿的成功率,比方:夫妇两方身体康健状况、遗传性疾病风险、胚胎质量等。 因而,在决断进行试管婴儿术前,建议夫妇两方首先做全方位的身体检查,认知自我情况并与医生充沛交流。

而立之年到35岁的女性被广泛认为是做试管婴儿的金子年纪段。在这个年龄阶段,卵巢功效身在相应旺盛的状况,卵子质量较好,受孕成功率较高。 然而,应当留意的是,所有人的情况同是特殊的,某些女性在40岁以致更年龄较长的年纪仍然能够通过试管婴儿怀孕生子。
要是女性已然超越35岁,能够选择进行一些辅助治疗来提高卵巢功效和胚胎质量,比方药物刺激、冷冻等。另外,选定一家备有丰厚经验和领先技术的医院进行治疗亦是极其重要的。
试管婴儿费用流程及移植过程试管婴儿的费用是1个比较敏感的话题,因为其费用因地域、医院以及详细情况而异。在一般情况下,一遍完善的试管婴儿周期费用大概在 98765 元左右。
下面列举是试管费用步骤及移植操作流程的普通步调:
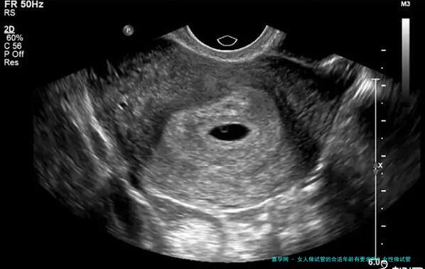
促排卵阶段 (约 10-14 天): 医生会根据患者的身体情况开具药物,刺激卵巢生成多个成熟卵子。这段期间需要定期监测激素水平和卵泡发育情况。 取卵阶段 (约 30 分钟): 在超声引导下,医生通过阴道穿刺的方式取出成熟的卵子。 精液培养阶段 (约 24 小时): 将男方的精液进行处理和培养,以便分离出优质的精子。 胚胎培养阶段 (约 5-7 天):将卵子和精子在实验室中结合受精,形成胚胎。 移植阶段 (约 30 分钟): 将发育成熟的胚胎移植到女性子宫内。移植后,仍旧要进行妊娠检测和按期产检来保证成功怀胎并保障胎儿健康发展。
总结选择适当的年龄做试管婴儿手术是提升成功率的重要要素。在一般情况下,而立之年到35岁的女性被当成是最完美年纪段,但全部人的情况都不同,建议与医生充沛交流,订定个体化的医治策略。同一时刻,需做好意理预备,认识整个试管婴儿过程可能牵涉的各类费用和挑战,维持积极达观的心态。
转载请注明出处。